Kalo te lënda

16 vjecarit i dalin dhembe vampiri

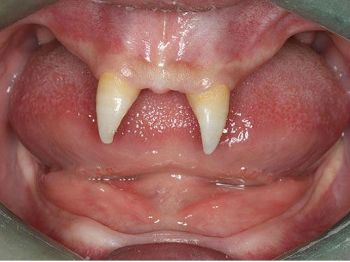
rang-1Chongqing – Wang Pengfei, 16 vjec, eshte derguar ne spital pasi mamaja e tij kishte pare se i kishin dale dy dhembe ‘vampiri’. Por mjeket nuk arriten te japin shpjegime.

Wang do te operohet vetem pasi te kete kaluar moshen 18 vjec. Cmimi i operacionit do te jete rreth 70,000 yuan (rreth 120 mije euro). Mamaja e djalit tha se ai ndihej i izoluar pasi eshte pre e shume talljeve ne shkolle.

Lini një koment